Archive by Author

A Tomografia e a Endodontia

Cabe ao Endodontista avaliar o volume completo das tomografias de seus pacientes tirando proveito de tudo que este exame realmente pode trazer em benefício de um diagnóstico, de um planejamento e de um tratamento mais eficaz.

Acesso Ninja e preparo com RECIPROC VDW

Abordagem clínica possível devido ao uso de tecnologias como microscopia operatória, ultrassom e preparo mecanizado de rotação alternada.

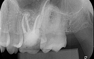
Reintervenção Endodôntica em Molar Superior com Curvatura

Reintervenção Endodôntica em Molar Superior com Curvaturas apicais em todas as raízes. O caso foi preparado com a hibridização com Reciproc R25 e M2 30, 35, 40 e 45.